
A broken pinky toe often results from accidental impact or trauma, such as stubbing the toe or dropping a heavy object on it. The symptoms of a fractured pinky toe include significant pain, swelling, bruising, and difficulty in moving the toe. In severe cases, the toe may appear deformed or out of alignment. To find relief, it is essential to rest the injured foot and avoid putting weight on it. Relief may be found by elevating the foot as this can assist in minimizing inflammation. Mild pain relievers may alleviate discomfort. In cases of severe injury or if the toe appears dislocated, seeking medical attention from a podiatrist is critical for a proper diagnosis and treatment. If you have fractured your toe, it is suggested that you promptly contact this foot doctor for the appropriate treatment.
A broken toe can be very painful and lead to complications if not properly fixed. If you have any concerns about your feet, contact Magdy Issa, DPM from Charlotte Family Podiatry and Wound Center. Our doctor will treat your foot and ankle needs.
What to Know About a Broken Toe
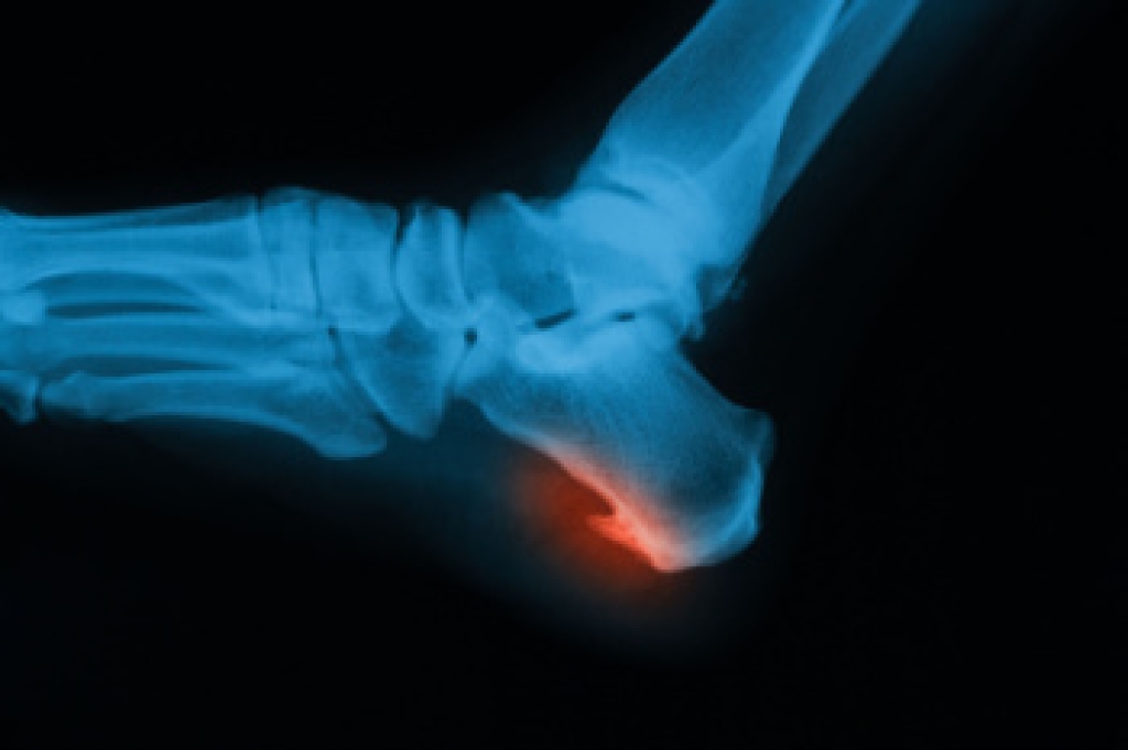
Although most people try to avoid foot trauma such as banging, stubbing, or dropping heavy objects on their feet, the unfortunate fact is that it is a common occurrence. Given the fact that toes are positioned in front of the feet, they typically sustain the brunt of such trauma. When trauma occurs to a toe, the result can be a painful break (fracture).
Symptoms of a Broken Toe
- Throbbing pain
- Swelling
- Bruising on the skin and toenail
- The inability to move the toe
- Toe appears crooked or disfigured
- Tingling or numbness in the toe
Generally, it is best to stay off of the injured toe with the affected foot elevated.
Severe toe fractures may be treated with a splint, cast, and in some cases, minor surgery. Due to its position and the pressure it endures with daily activity, future complications can occur if the big toe is not properly treated.
If you have any questions, please feel free to contact our office located in Charlotte, NC . We offer the newest diagnostic and treatment technologies for all your foot care needs.

Cuboid syndrome